精准微创,点亮生命之光
--剑阁县中医医院肿瘤介入治疗迈入新阶段
 
近日,剑阁县中医医院肿瘤介入团队成功开展了一系列前沿的肿瘤微创介入手术,主要包括:
1.精准灌注与栓塞治疗:成功实施多例肝癌、肺癌等部位的经动脉化疗栓塞术(TACE)和经动脉灌注化疗(TAI),将高浓度药物精准输送至肿瘤内部,并栓塞其供血血管,“饿死、毒死”肿瘤,最大程度保护正常组织。
2.肿瘤消融治疗:熟练应用微波消融(MWA)技术,对早期小肿瘤实现根治性灭活,对部分晚期肿瘤进行姑息减瘤,为无法手术的患者带来了治愈的希望。
3.经皮穿刺诊疗技术:在CT/超声引导下,开展经皮穿刺活检,为疑难病例提供金标准诊断。
4.粒子植入术:在CT引导下,将放射性粒子直接植入肿瘤内部,通过持续释放射线精准摧毁肿瘤。
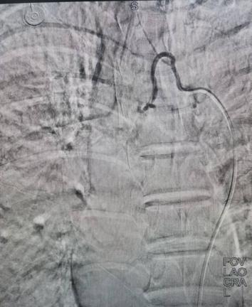
案例一:谭先生,66岁,右肺鳞癌IIIA期。2025年11月18日,在DSA引导及局麻下行经导管支气管动脉栓塞化疗术,术后肿瘤血供明显减少。
   
栓塞前血供丰富                                                 栓塞后血供明显减少
案例二:魏先生,64岁,肾恶性肿瘤术后肝、肺转移。2025年11月3日,在DSA引导及局麻下行经导管支气管动脉联合肝动脉造影、栓塞+灌注化疗术,实现多部位协同治疗。
   
支气管动脉造影                                                                    肝动脉造影
案例三:刘先生,65岁,右下肺占位(2.0*2.0cm)。2025年11月12日,在CT引导下行经皮肺病损微波消融术+肺穿刺术,11月19日病检回示为腺癌。
   
消融前                                                                              消融后
案例四:贾先生,61岁,右侧胫骨继发性恶性肿瘤(发病时无法站立行走)。2025年10月25日,在CT引导下右侧胫骨转移性肿瘤粒子植入术,术后可独立行走,生活质量显著提升。
 
 
术前                                                                            术后                                                                              现可独立行走
这一系列高难度手术的成功开展,充分体现了肿瘤介入团队勇于探索、精益求精的专业精神,以及多学科协作(MDT)在肿瘤治疗中的重要作用。医院将继续致力于肿瘤介入技术的发展与创新,不断拓展治疗领域,以更优的诊疗方案、更暖的医疗服务,为每一位肿瘤患者的健康保驾护航。
普安院区:普安镇闻溪路6号
医院办公室 0839-6620135(周—至周五)
蜀ICP备14011655号-3
川公网安备51082302000216号
Copyright©2026 All Rights Reserved.  

